
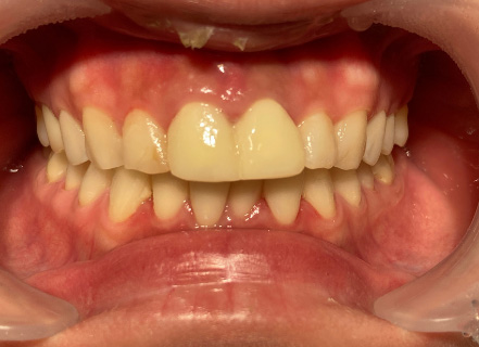
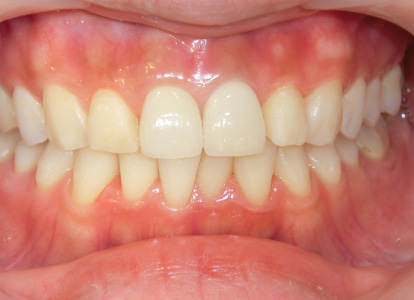
前歯部の審美的補綴の一例
- ジルコニアセラミッククラウン
- ホワイトニング:審美歯科
- 歯周病治療
Before
After
- 通院時の年齢
- 32歳
- 性別
- 女性
- 通院回数
- 10回
- 通院目的
- 仮歯をキレイにしてから、審美的な被せ物を入れて欲しい。
ホワイトニングがしたい。
- 処置内容
-
- 上下オフィスホワイトニング
- 上下ホームホワイトニング
- 右上1番左上1番ジルコニアセラミッククラウン
- 費用
- 365,000円
- リスク・副作用
- ホワイトニング後しみることがある。
外力により、被せ物が割れる可能性がある。
医療コラム
Column

Before

After
